MEDizzy
MEDizzy
J
Jolandaabout 8 years ago
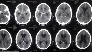
CT-Brain

CT-Brain

554
Other commentsSign in to post comments. You don't have an account? Sign up now!
about 8 years ago

Thyrotropin secreting adenoma?

about 8 years ago

No... keep in mind where she comes from and her living conditions. I will give the answer tomorrow and explain if no one gets it

about 8 years ago

Tuberculous Meningitis?

about 8 years ago

Yes

about 8 years ago

tuberculosis meningitis. is that hyperdense bcs tubercle..?

about 8 years ago

Yes! One of the main features of TB meningitis is enhancement of the basel cisterns.

about 8 years ago

There are basal enhancements seen on the contrasted CT in an asterix/ star shape. Dilated ventricles with periventricular hypodensity indicating ongoing inflammation. These findings together with the history tells us that it is TB meningitis

almost 8 years ago

TB meningitis??

Recent MCQs















Show more MCQs

Recent flashcard sets















Show more flashcards