MEDizzy
MEDizzy
Siddharth Ajay
Siddharth Ajayover 7 years ago
Ur opinion pls!!!

Ur opinion pls!!!

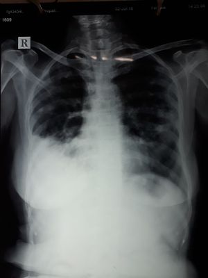
55 yr old female c/o rt sided chest pain cough dry type with fever off and on since 2 month.

16
Top rated comment
over 7 years ago

Looks like severe pneumonia

Other commentsSign in to post comments. You don't have an account? Sign up now!

Recent MCQs















Show more MCQs

Recent flashcard sets















Show more flashcards