
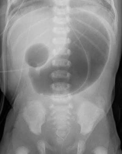
Duodenal atresia is a congenital anomaly of GIT in which the duodenum is malformed. The portion of the duodenum is either absent or completely closed which results in complete obstruction of duodenum. This can be clinically seen on X-ray as a double bubble sign. This sign is formed as a result of distension of stomach and duodenum due to entrapment of air in them. Both the structures are separated by the pyloric sphincter which makes it look like a double bubble on abdominal X-ray. Picture credit: https://en.m.wikipedia.org/wiki/Duodenal_atresia