
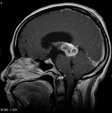
The mass in the pinealoma can be attributed to either pineal parenchymal tumor or germinomas. The pineal mass is usually asymptomatic. However, obstructive hydrocephalus or parinaud syndrome can occur as a result of pineal mass. The pineal mass can cause upward displacement of internal cerebral veins as seen on radiology. Reference: https://radiopaedia.org/articles/pineal-region-mass Image via: https://radiopaedia.org/articles/pineocytoma