
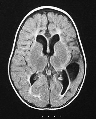
Cerebral palsy is a type of neurological disorder that results due to some damage to the brain which results in motor and movement related disability in childhood. This condition usually presents with some combination of the following manifestations: - Hand preference before 1 year of age - Crawling is asymmetrical or not possible at all - Exaggerated reflexes - Absence or underdevelopment of protective or postural reflexes. The injury the leads to this condition could have occurred at any point in time during during the foetal development. The major causes that can be higlighted include: - genetic abnormalities - toxic or infectious cause - vascular insufficiency, e.t.c Text Reference and Image Source: https://emedicine.medscape.com/article/1179555-overview