Feed
Library
Learning
Discuss
Leaderboard
Journal
Sign in
Login
Sign up
Sign in
Feed
Library
Learning
Discuss
Leaderboard
Journal
Rosa CG
over 8 years ago
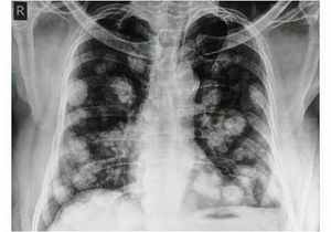
Lung mets...
Cancer
Oncology
Lung
Rx
Mets
32
0
16
Other comments
Sign in
to post comments. You don't have an account?
Sign up now!
Related posts
Causes of pleural effusion
Pleural effusion and chest wall disorder
Types of bronchiectasis
Asthma and COPD features
Normal Spirogram
Normal Spirogram
Theoretical foundation of nursing
Hairy cell leukemia
Oral carcinoma
Collapse of the left upper lobe of lung
Recent MCQs
Show more MCQs
Recent flashcard sets
Show more flashcards
Feed
Learn
Add
Search
Discuss