
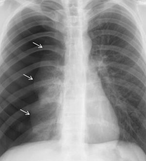
I am 99% sure it it a pneumothorax, can anyone qualified back me up?
Yes one hundred percent. What was the cause of the pneumo??
a pneumothorax, no tension and just air and no blood in the lung
Have you seen a Pneumothorax on CXR before ? If you have , its always the same on CXR , you don't need backup , you've got this đĒ. #Spontaneous Pneumothorax.