Feed
Library
Learning
Discuss
Leaderboard
Journal
Sign in
Login
Sign up
Sign in
Feed
Library
Learning
Discuss
Leaderboard
Journal
Abdulgaffar Ergin
about 1 year ago
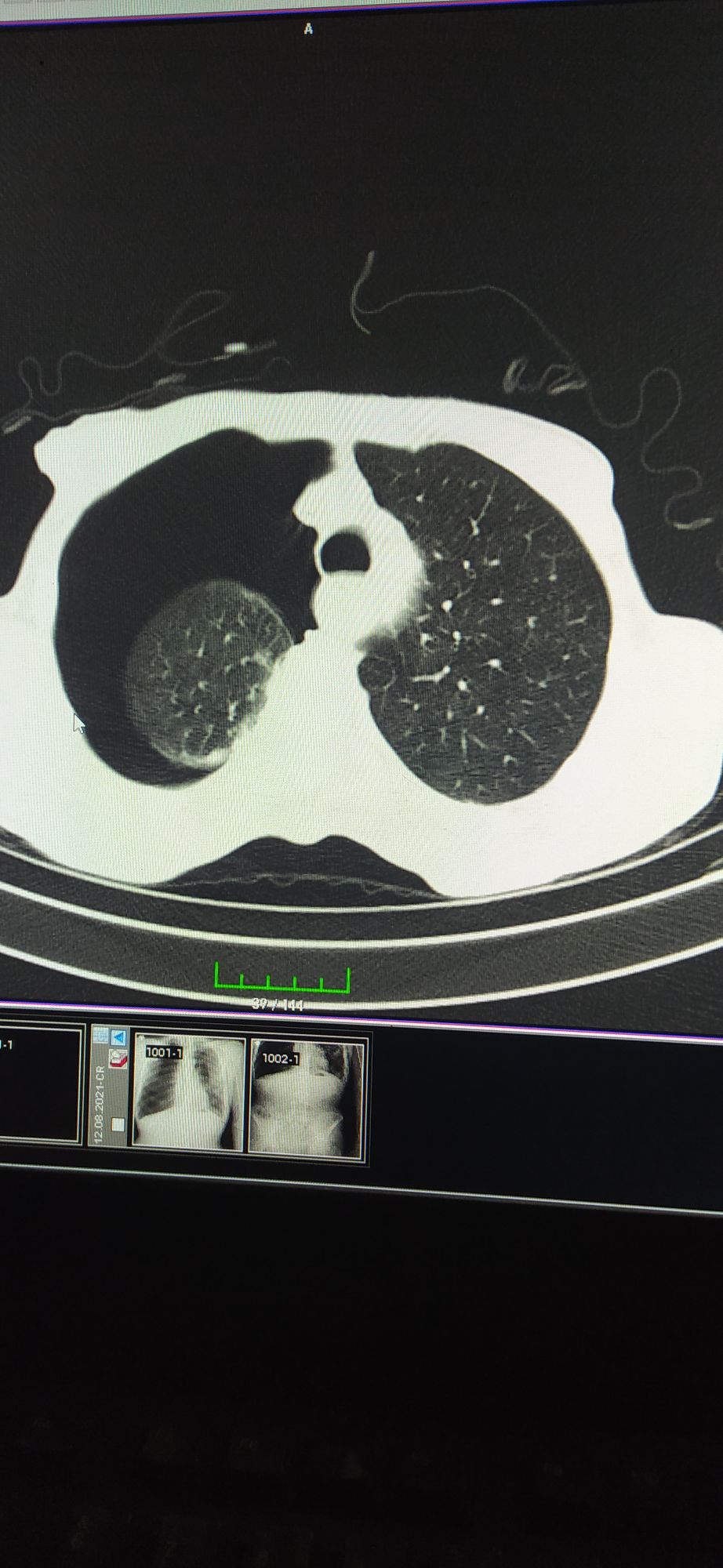
İatrogenic Pneumothorax
Pneumothorax
Central Catheter
Dispnea
360
0
4
Other comments
Sign in
to post comments. You don't have an account?
Sign up now!
Related posts
Pneumothorax
Types of Pneumothorax
Types of Pneumothorax
Types of Pneumothorax
Pneumothorax Vs Hemothorax
Types of Pneumothorax
Pneumothorax
open pneumothorax
closed pneumothorax
Tension pneumothorax
Recent MCQs
Show more MCQs
Recent flashcard sets
Show more flashcards
Feed
Learn
Add
Search
Discuss