MEDizzy
MEDizzy
Katelin
Katelinover 7 years ago
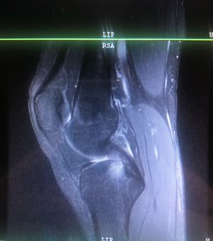
MRI Left Knee

MRI Left Knee

I'm trying to study, but I suck at reading MRIs. It looks like there's a bone bruise but I can't tell if something else is there.

19
Top rated comment
about 7 years ago

Abnormality seen the knee joint......

Other commentsSign in to post comments. You don't have an account? Sign up now!

Recent MCQs















Show more MCQs

Recent flashcard sets















Show more flashcards