
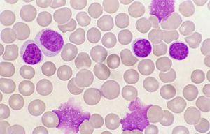
What is the name of those cells at the bottom? What is the condition they are associated with?
"Smudge" cells (also called "basket cells" or Gumprecht's shadow) that are lymphocytes that appear to have been flattened or smudged in the process of being spread on the glass slide and are typically found in CLL