Feed
Library
Learning
Discuss
Leaderboard
Journal
Sign in
Login
Sign up
Sign in
Feed
Library
Learning
Discuss
Leaderboard
Journal
e
elrajuela
over 7 years ago
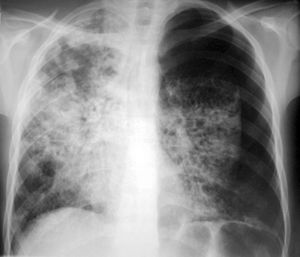
Mi torax
como lo ven?
6
0
1
Other comments
Sign in
to post comments. You don't have an account?
Sign up now!
Related posts
No related posts found
Recent MCQs
Show more MCQs
Recent flashcard sets
Show more flashcards
Feed
Learn
Add
Search
Discuss