
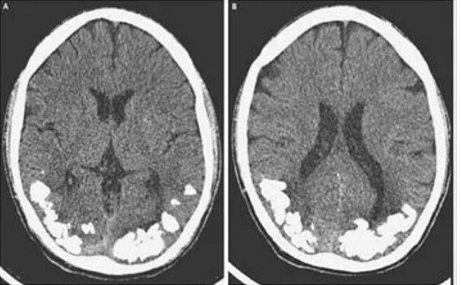
For 10 years a young man in Brazil had been suffering from throbbing headaches and vision problems. On close examination, it turned out there were small stone-like calcium deposits in his brain. This was apparently an extreme complication brought about by Celiac disease, an autoimmune disorder that over time affected the lining of the small reduced the body's ability to absorb nutrients. It is unclear how exactly celiac disease resulted in calcification in the brain, but researchers said it is possible that the patient's lowered ability to absorb iron may have had a role.