
A male patient of age 80yrs. have complaints of cough since 1 month with expectorant and pain in chest while coughing. Also have fever from 10-15 days...
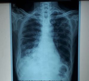
Right horizontal fissure is prominent (increased lung markings),both lower lobes infiltrates w/right blunted costophrenic angle.All this added to hx of age,cough,fever,chest pain, all point towards a lung infection(pneumonia ). I want lateral view CXR, Chest CT, sputum culture, thoracocentesis +cultures, CBC,PPD and start broad spectrum Abx while waiting for results. Also take a detailed history (social, personal, family,etc )
Uuum nope Kendall ! Atelectasis is collapsed lung Pneumothorax is air in the pleural space.
It is based on ppd and sputum culture.. there's history of cough with expectoration we can also think of it .right !?
Uum Absolutely not Dr.Sharief Pneumothorax is a collection if air in the pleural space, air is black, white shadow is atelectasis or fluid (effusion ),we don't see costophrenic angles because they are blunted by presence of effusion (fluid) not Pneumothorax (air). ..
Mild pnemothorax .. we cant see the costophrenic anglr right side ..a white shadow suggesting pnemothorax .
Treat with higher antibiotics, pleural tapping is must & send the sample for ADA...
Its pleural effusion and to find out cause of fever we did regular check up in that typhoid reports are positive. Also patient was in dehydration so bp was 70/40mmhg. Wbc was 30000.
Treatment started: higher antibiotics like tazar and augmentin and antacids. Also started with fluid management for dehydration and noradrenaline because bp was too low. And planning for tapping of chest.
Blunting of costophrenic angle points to pleural effusion ( intercostal drainage) and treat with third gen cephalosporin for the infection (fever) after an infection screen