
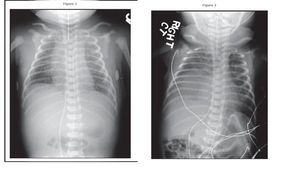
A full-term female infant with a birthweight of 3.5 kg was delivered by caesarean section. Physical examination findings were normal. Four hours after delivery, the infant developed progressively worsening respiratory distress requiring intubation and assisted ventilation. Diagnostic workup confirmed group B Streptococcus (GBS) sepsis and pneumonia. Chest radiography was performed (Figure 1). The infant’s condition gradually improved in the subsequent days and she underwent extubation on the 8th day after birth. However, increasing respiratory distress necessitated assisted ventilation 7 hours later. Chest radiograph obtained after intubation is presented in Figure 2. The findings shown in Figure 2 were unchanged 2 days later. Of the following, the MOST appropriate next step in the care of the infant in the vignette is: A. chest computed tomography B. chest physical therapy C. chest ultrasonography D. fluoroscopy E. thoracentesis