Feed
Library
Learning
Discuss
Leaderboard
Journal
Sign in
Login
Sign up
Sign in
Feed
Library
Learning
Discuss
Leaderboard
Journal
D K MEDILIFE
over 7 years ago
What do you think?
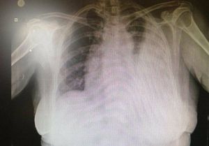
Asymptomatic pleural effusion with negative cytology
Respiratory
Thoracic
Dkmedilife
17
3
5
Other comments
Sign in
to post comments. You don't have an account?
Sign up now!
Dipesh
over 7 years ago
Tuberculosis
0
Reply
SD
Shermila Dissanayaka
over 7 years ago
Tuberculosis
0
Reply
Helen Menidis - Vaka
about 7 years ago
Tb
0
Reply
Related posts
Respiratory membrane
Respiratory membrane
Respiratory center
Brainstem inspiratory area
Common causes of dry cough
Respiratory Terminologies I
Respiratory Terminologies II
Respiratory Terminologies V
Respiratory Terminologies VI
Ace Your Respiratory Examination OSCE - With This Clinical Skills Master Class - Dr Gill
Recent MCQs
Show more MCQs
Recent flashcard sets
Show more flashcards
Feed
Learn
Add
Search
Discuss