
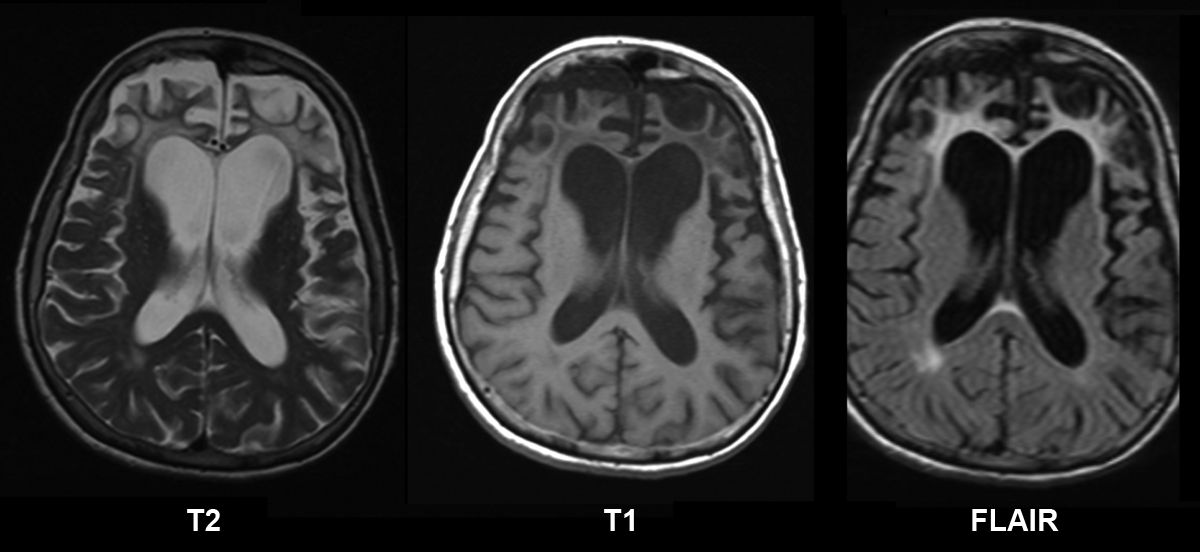
Pick’s disease is a rare type of dementia. It is the disease of parts of brain that control emotions, personality, behavior, and language. Pick’s disease is also referred to as Frontotemporal Dementia or Frontotemporal Lobar Degeneration. In Pick’s disease, the tau proteins clump together to form Pick bodies. Since tau proteins are associated with transportation of nutrients, the disrupted function results in irreversible brain damage due to deranged tau protein’s function. The individual with Pick’s disease exhibits following features: - Aggressive behavior - Excessively vigilant - Uninterested in daily activities - Easily irritable - Mood swings - Impulsive decision-making - Inability to perform unplanned activities - Repetitive actions - Inappropriate language and actions People with Pick’s disease also have issues such as: - Uncoordinated movement - Loss of memory - Stiff or flaccid muscles - Difficulty in movement There is not treatment of Pick’s disease. The management aims at symptomatic relief. Once started, the condition worsens with time. Reference: https://www.webmd.com/alzheimers/guide/picks-disease Image via: https://en.wikipedia.org/wiki/Frontotemporal_dementia