Feed
Library
Learning
Discuss
Leaderboard
Journal
Sign in
Login
Sign up
Sign in
Feed
Library
Learning
Discuss
Leaderboard
Journal
Ramsha Zaheer
about 4 years ago
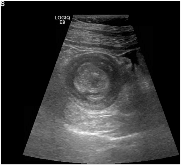
Doughnut Sign on ultrasound in a patient with Intussusception
Ultrasound
Obstruction
Intestinal
Doughnut Sign
Intessusception
4
0
1
Other comments
Sign in
to post comments. You don't have an account?
Sign up now!
Related posts
Large-Bowel Obstruction from Hereditary Angioedema
Vocal-Cord Polyp Causing Airway Obstruction
Ultrasound Finding For Down Syndrome
Boy or Girl?
How To Obtain A Good Radiograph: Proper placement of film in the patient’s mouth Correct Angulation of the cone in relation to the film and oral structures Correct exposure time Proper developing technique
Intussusception
Duodenal Atresia
Hypertrophic Pyloric Stenosis
Hypertrophic Pyloric Stenosis
GIT obstruction
Recent MCQs
Show more MCQs
Recent flashcard sets
Show more flashcards
Feed
Learn
Add
Search
Discuss