Feed
Library
Learning
Discuss
Leaderboard
Journal
Sign in
Login
Sign up
Sign in
Feed
Library
Learning
Discuss
Leaderboard
Journal
Sangeeta SN Sengupta
over 7 years ago
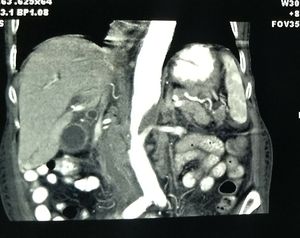
Ct of a 71 yr old woman with ca stomach.... Can anyone tell about a significant finding seen in this film
Cancer
Stomach
Medicalquestion
1
0
0
Other comments
Sign in
to post comments. You don't have an account?
Sign up now!
Related posts
Liver and Bililary Tract tumor
Ear tumors Ear tumors may be benign (noncancerous) or malignant (cancerous). Types of noncancerous ear tumors include keloids, sebaceous cysts, osteomas and exostoses (bone growths). Noncancerous ear tumors usually require surgical removal. Cancers that can affect your ears include melanoma, basal cell carcinoma and squamous cell carcinoma. Treatment for these conditions depends on several factors, including the type and stage of cancer, and whether or not it has spread to other parts of your body.
stomach
Pathology of parathyroid gland
Types of Cancer
Theoretical foundation of nursing
Stomach
Preparation for USMLE
Oral carcinoma
Hi! I have these spots on my legs. These are itchy . Can anyone tell what are these?
Recent MCQs
Show more MCQs
Recent flashcard sets
Show more flashcards
Feed
Learn
Add
Search
Discuss