Feed
Library
Learning
Discuss
Leaderboard
Journal
Sign in
Login
Sign up
Sign in
Feed
Library
Learning
Discuss
Leaderboard
Journal
CW
Christopher Williams
over 4 years ago
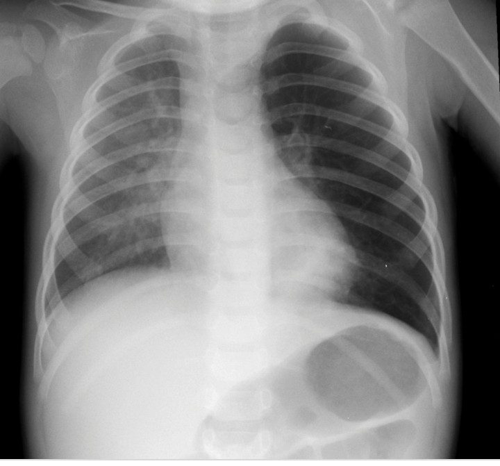
Pediatric Chest X-ray
Radiology
Pediatrics
Pulmonology
Stomach
Chestxray
show 1 more
418
2
0
Other comments
Sign in
to post comments. You don't have an account?
Sign up now!
SC
Sanket Chauhan
over 4 years ago
Pneumothorax
0
Reply
Christopher Williams
about 4 years ago
Left sided pnumothorax
0
Reply
Related posts
Spine Radiology I
Spine Radiology II
The major determinants of cardiac function include all the following EXCEPT a. Heart rate b. Left end diastolic volume c. Cardiac contractility d. Afterload E. Stroke volume
open pneumothorax
closed pneumothorax
Tension pneumothorax
Ace Your Respiratory Examination OSCE - With This Clinical Skills Master Class - Dr Gill
Doctor Explains: How to PURIFY Smokers Lungs!
Bronchitis
Pigg-O-Stat
Recent MCQs
Show more MCQs
Recent flashcard sets
Show more flashcards
Feed
Learn
Add
Search
Discuss