
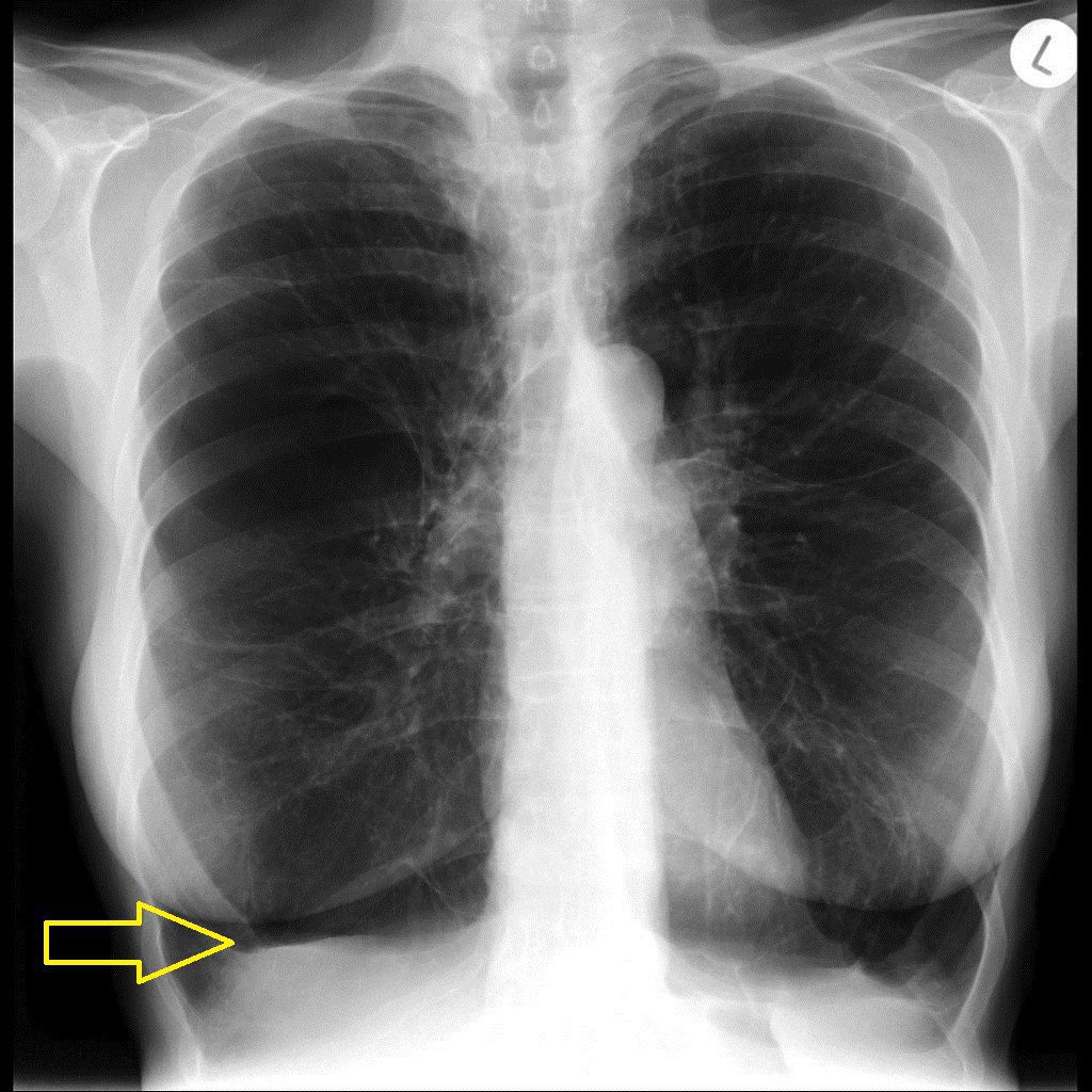
The main constituents of Chronic Obstructive Pulmonary Disease (COPD) are chronic bronchitis and emphysema. Characteristic radiological findings may be demonstrated in such patients. Following characteristics can be appreciated in case of emphysema: - Hyperinflated lungs - Flattened hemidiaphragms - Small-sized heart - Bullous changes - Saber-sheath trachea (coronal narrowing of trachea on frontal view but sagittal narrowing on lateral view) Reference: https://radiopaedia.org/articles/chronic-obstructive-pulmonary-disease-1 Image via: https://www.wikidoc.org/index.php/Alpha_1-antitrypsin_deficiency_x_ray
I’ve been living with COPD for quite some time, and for years, I struggled to find lasting relief. While conventional medications provided temporary help, the symptoms always returned and often got worse.Out of a mix of hope and hesitation, I decided to try an herbal treatment program from NaturePath Herbal Clinic. I’ll admit, I was skeptical at first. But around the fourth month, I began to notice real, steady progress:My breathing became easier the tightness in my chest lessened my energy levels slowly started to return It wasn’t an overnight transformation, but it was consistent and truly life changing. For the first time in years, I feel more in control of my health. I can breathe more freely, sleep more peacefully, and enjoy daily life without the constant fatigue and breathlessness I once accepted as normal.The improvements I’ve experienced physically, emotionally, and mentally have been nothing short of uplifting.If you’re exploring natural options for managing COPD, I wholeheartedly recommend NaturePath Herbal Clinic. Their approach has made a real difference in my life, and I’m genuinely grateful I gave it a chance.www.naturepathherbalclinic.com info@naturepathherbalclinic.com