
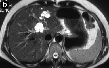
Caroli syndrome is characterized by problems in the liver parenchyma and bile ducts. This is a rare genetic condition that results in congenital hepatic fibrosis that can result in portal hypertension and dilatation of the intrahepatic bile ducts that predisposes to bile duct stone formation and resultant obstructive jaundice. Text Reference: https://rarediseases.org/rare-diseases/caroli-disease/ Image Source: https://en.m.wikipedia.org/wiki/Caroli_disease