
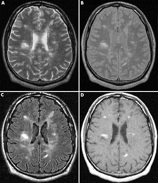
Multiple sclerosis (MS) is a relatively common acquired chronic relapsing demyelinating disease involving the central nervous system, and is the second most common cause of neurological impairment in young adults, after trauma 19. Characteristically, and by definition, multiple sclerosis is disseminated not only in space (i.e. multiple lesions in different regions of the brain) but also in time (i.e. lesions occur at different times). A number of clinical variants are recognised, each with specific imaging findings and clinical presentation. They include: classic multiple sclerosis (Charcot type) tumefactive multiple sclerosis Marburg type (acute malignant) Schilder type (diffuse cerebral sclerosis) Balo concentric sclerosis Clinical presentation is both highly variable acutely, as a result of varying plaque location, as well as over time. Examples of common clinical features include: 🟠brainstem and cranial nerve involvement: optic neuritis internuclear ophthalmoplegia (often bilateral) trigeminal neuralgia diplopia (e.g. due to abducens nerve palsy) vertigo 🟢cerebellum involvement: ataxia and gait disturbance oscillopsia 🔵cerebrum and spinal cord involvement: limb sensory loss or paraesthesias upper motor neurone signs Lhermitte sign urinary incontinence 🟣others: fatigue depression Uhthoff phenomenon: heat and exercise worsen symptoms cognitive decline
My mother battled multiple sclerosis (ms) disease for about 7 years. Searching for a more natural approach to add to her current regimen, we have been using various alternative methods, and she still experienced difficulty walking despite what Western medicine practitioners predicted. Nothing seemed to work until I found this website www. madibaherbalcenter. com . They said that the doctor has power over difficulty walking disease, so I contacted them via email , and I received responses immediately. After receiving the herbal remedies, my mother used them as instructed. Within seven weeks, my mom went back to her doctor, who informed her that she was completely cured of MS. I never thought this herbal medicine would work, but based on the online testimonies about this doctor curing many diseases, I decided to contact him happily. You can also reach out to them if you have any health problem or disease via ww w. madibaherbalcenter. com . ( madibaherbalcenter. @gmail. com )