
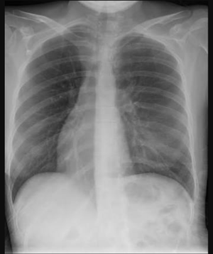
The correct answer is dextrocardia. It is a congenital deformity causing the heart to be on right side. The cause is due to abnormality in the dextrality pathway which is initiated by serotonin at about 3 weeks of gestation. 5HT initiate a cascade of reactions ultimately activating PITX2 gene which is also the master gene of dextrality causing the heart to be on left side. The disruption of this cascade such as hyperthermia (fever during pregnancy) or drugs (mainly affecting the serotonin) results in dextrocardia.