
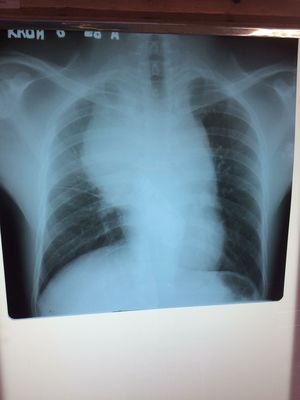
🏥 Case report from Pneumo Department KSFH. 📡 Personal information: Man 24 years old from Koh Kong Province. 📡Cc: Dyspnea associate with minimal chest pain 📡 ATCD: - Secondary smoking exposure - working in industry over 6 years (រោងចក្រផលិតឥដ្ថ) - No previous treat Anti-TB - Non previous tumor - Non surgery - No coagulation disease - No previous kidney or liver disease 📡 Presentting illness: His symptom developed over 5 months ago with Dyspnea associate minimal chest pain. He detail more about his symptoms, it's just start aggravating for several day especially Dyspnea, it's always occur during he work or exertion. He used to use medication to pain relief but it did not improve until now. It's the main reason entry to the Pneumo Department KSFH. 📡 PE report: - GA: mild condition - Consciousness: Alert - Minimal chest pain with score pain around 3 (EVA 3) - Dyspnea type polypnea with SpO2: 93% Air environmental and RR: 28 - RS and TF decrease on R side - Rhythm irregular with Tachycardia (HR: 94 B/min) - Hemodynamic stable with BP report 110/8mmHg - Abdominal soft and stool normal - Urine normal - No Adenopathy detection - No edema - Other system normal 🏥 Questions: depend on case reported 1. Dx probability and initial management...? 2. What's second step to confirm Dx...? 3. If Dx of imagery suspected CA, which next step do you need to perform.....? 4. What the most type of CA on this patient (Common CA) 5. If Dx positive has been confirm, what's is your management on Patient....? 6. Prognostic and Advice to patient and family....? 7. Survival rate....?