
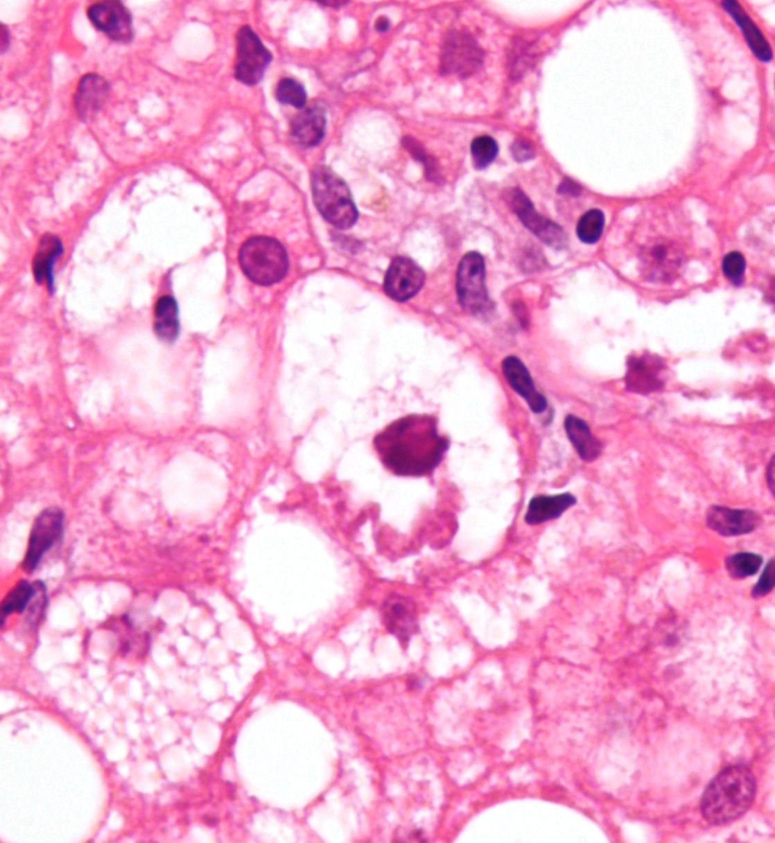
Alcoholic fatty liver disease refers to the accumulation of fat globules in the hepatocytes as a result of chronic consumption of alcohol. Binge-drinking can also cause cirrhosis. On biopsy, Mallory bodies are found in hepatocytes. Mallory bodies are cytoplasmic inclusion that are produced as a result of damaged intermediate filaments. These inclusions are eosinophilic. Source: https://en.wikipedia.org/wiki/Mallory_body