Feed
Library
Learning
Discuss
Leaderboard
Journal
Sign in
Login
Sign up
Sign in
Feed
Library
Learning
Discuss
Leaderboard
Journal
Surgilicious
almost 9 years ago
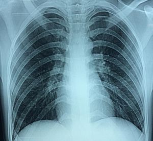
What seems to be the problem on this CXR ?
Surgeon
Medschool
Radiology
Medicalschool
Medicalquiz
show 1 more
0
0
0
Other comments
Sign in
to post comments. You don't have an account?
Sign up now!
Related posts
How to Read MRI I
How to Read MRI II
Surgeon gown
Hemodynamic stimuli&nonhemodynamic stimuli
It is a great pleasure to welcome the International Experts Summit on Surgery and Anesthesia (SurgAnesth Summit-2025) in Rome, Italy from April-21-23, 2025. The SurgAnesth Summit-2025 is a vital platform for exchanging recent achievements and discussing future facilities in Surgery and Anesthesia. It will be a 3 days event that means gathering the key players of the surgeons and anesthesiologists' Community and related sectors. This event is launched with the aim to become an established event, attracting global participants, intent on sharing, exchanging, and exploring new avenues of Surgery and Anesthesia -related scientific and commercial developments. A wide-ranging scientific program consisting of plenary lectures, keynote lectures, invited lectures, parallel sessions, as well as poster sessions for young scientists.
Bone Marrow Transplant Procedure, Uses and Benefits
Basic Brainstem Radiology
Spine Radiology I
Spine Radiology II
Buccal space infection
Recent MCQs
Show more MCQs
Recent flashcard sets
Show more flashcards
Feed
Learn
Add
Search
Discuss