
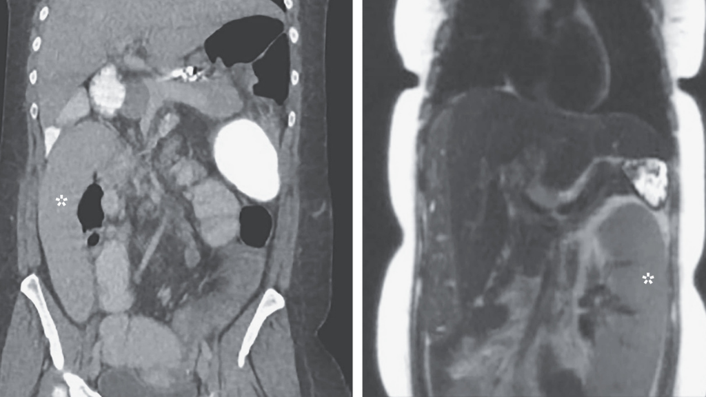
Even if your mind wanders, you can typically count on your physical organs to remain in the same place inside your body. However, as a woman in Michigan discovered when her spleen migrated a full foot within her body in 48 hours, this isn't always the case. The woman had "wandering spleen," an uncommon disorder in which the ligaments that maintain the spleen in its normal location become weaker, allowing the organ to travel inside the body. According to a case report published Nov. 19 in The New England Journal of Medicine, CT images of the woman's abdomen done just two days apart revealed that her spleen had migrated from the upper left quadrant to the lower right quadrant. According to the authors, that's around a one-foot (0.3-meter) distance. The woman had a liver problem that caused her spleen to enlarge, causing the ligaments that surrounded her spleen to stretch. The excision of the spleen is the most common treatment for wandering spleen. However, in this situation, the woman was hoping for a liver transplant, and removing her spleen separately could cause complications that would prevent her from receiving a new liver. As a result, doctors opted to hold off, planning to remove her spleen at the same time as her liver transplant.
As I mentioned "The woman had a liver problem that caused her spleen to enlarge, causing the ligaments that surrounded her spleen to stretch." This caused free movement of spleen.