Feed
Library
Learning
Discuss
Leaderboard
Journal
Sign in
Login
Sign up
Sign in
Feed
Library
Learning
Discuss
Leaderboard
Journal
Chnur
almost 8 years ago
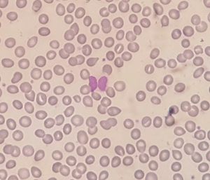
Butterfly
Medicine
Blood
Casestudy
Hematology
Butterfly
show 1 more
32
3
2
Other comments
Sign in
to post comments. You don't have an account?
Sign up now!
A
Aswanth
almost 8 years ago
What is that??
0
Reply
Chnur
almost 8 years ago
It was look like smudge cell but not so clear.
0
Reply
Shalini senthilnathan
almost 8 years ago
Smudge cells I think so
0
Reply
Related posts
Breastfeeding and Medications II
Thrombocytopenia
Leukocytosis
Blood Circulation in Humans
Neurofibromatosis
Haemophilia
Women’s Reproductive Health & Daily Wellness
Gelatine Sculpt | Official Website
BurnSlim Official | Support Your Weight Management Journey
Recent MCQs
Show more MCQs
Recent flashcard sets
Show more flashcards
Feed
Learn
Add
Search
Discuss