
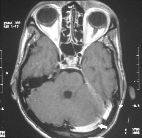
Lateral sinus thrombosis is a rare complication of middle ear infection. This complication was fairly common in pre-antibiotic era, however, in present age, it may occur in individuals with advanced age and chronic middle ear infection. Lateral sinus thrombosis presents with: - Picket-fence fever - Earache - Headache - Vomiting - Neck stiffness and pain - Papilledema The cornerstone of the management of lateral sinus thrombosis is antibiotics and surgery. Although not a part of standard care, anticoagulants are also beneficial in improving prognosis. Reference: https://www.ncbi.nlm.nih.gov/pmc/articles/PMC3033149/