
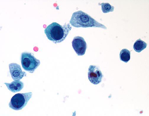
Presence of Decoy Cells in urine cytology may indicate human polyomavirus. This is one of the indicator that aid for diagnosis of this particular virus. Characteristically, polyomaviridea are relatively small and double stranded virus, which causes human polyomavirus. Image above shows the morphological structure of "decoy cells" with a very high N:C ratio and prominent intra nuclear inclusions. These cells may also exhibit a comet-liked cytoplasm. Photo Credited to: http://pathology.jhu.edu/cytopath/masterclass/urine/benign/1uri14.htm