MEDizzy
MEDizzy
V
Vinodover 4 years ago
Please explain it ?

Please explain it ?

492
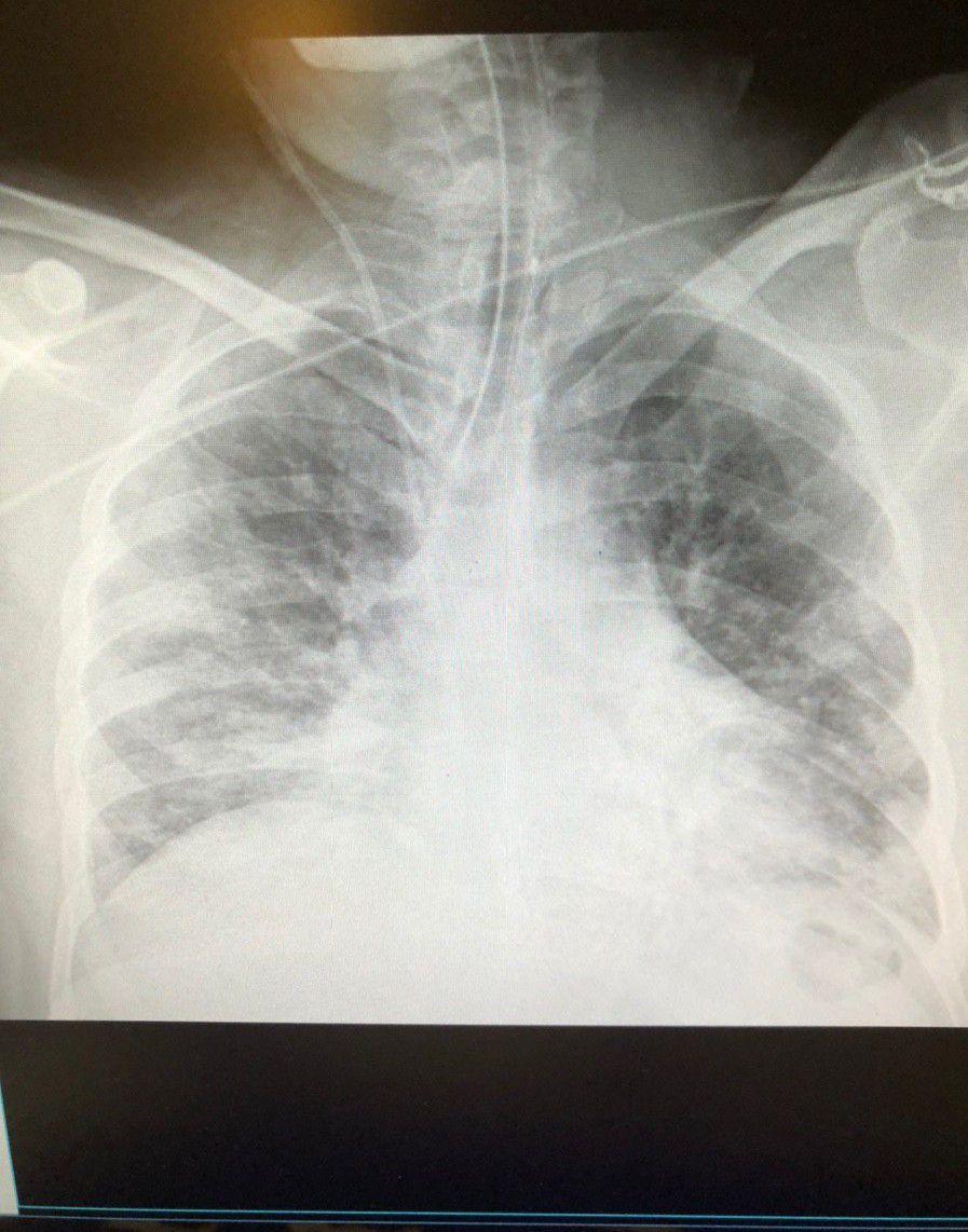
Top rated comment
over 4 years ago

1.Both lungs shadow decrease translucency 2.pulmonary vascular markings are prominent 3.cardiac shadow is increased.Boot shaped heart. Acute pulmonary oedema. Due to hypertension.

Other commentsSign in to post comments. You don't have an account? Sign up now!

Recent MCQs















Show more MCQs

Recent flashcard sets















Show more flashcards