
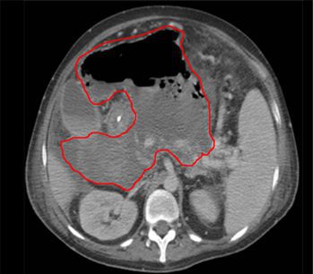
An intra-abdominal abscess is a localized collection of pus in the abdominal cavity. Causes include spontaneous bacterial peritonitis, pelvic infection (e.g. tubo-ovarian abscess), pancreatitis, perforation of the GI tract, and osteomyelitis of the vertebral bodies with extension into the retroperitoneal cavity. It is usually polymicrobial in origin. Diagnosis is made on CT scan or ultrasound. Treatment typically involves antibiotics and drainage of the abscess. The antibiotic regimen should include broad coverage against gram-negative rods, enteroccoci, and anaerobes.