
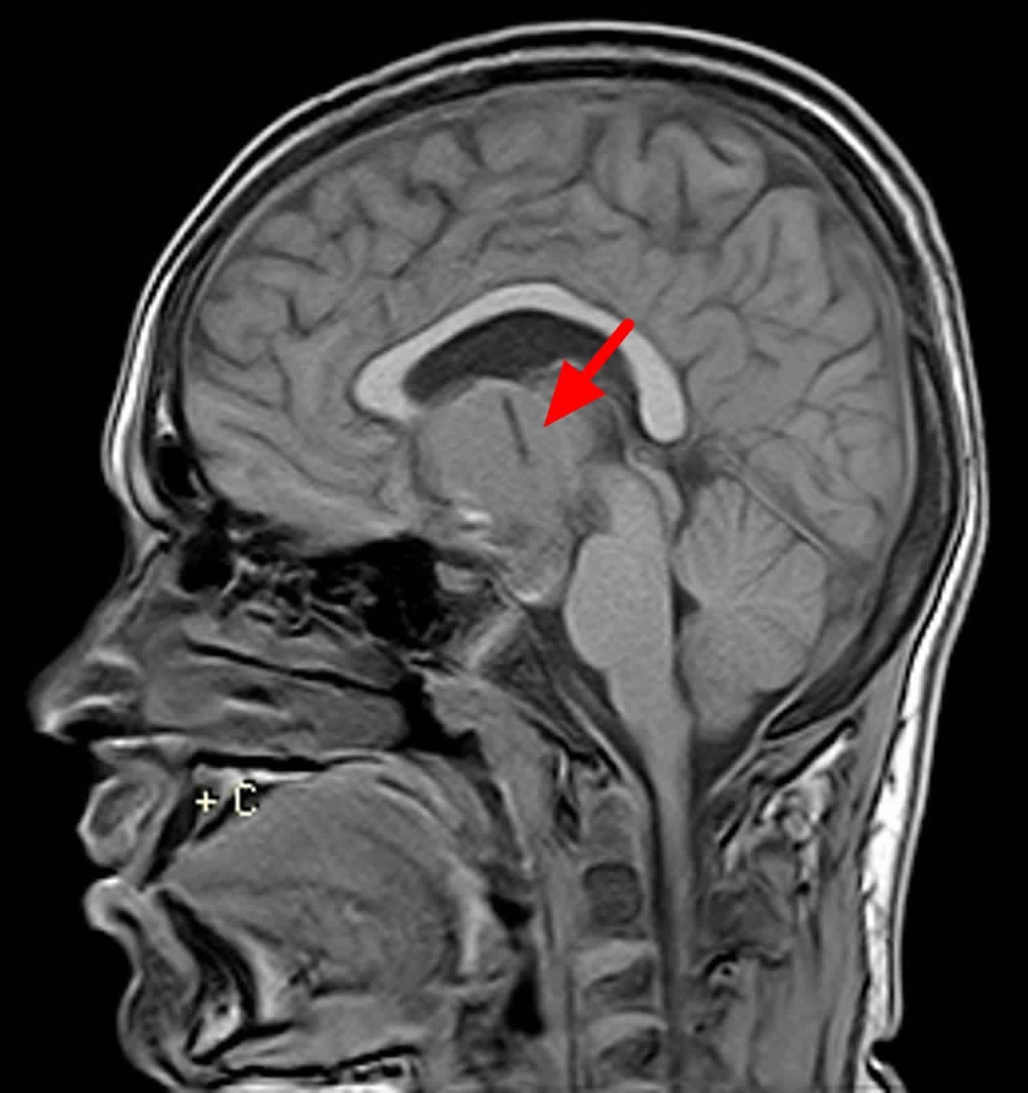
Craniopharyngiomas are the benign tumors of suprasellar region arising from embryologic remnants of Rathke's pouch and comprise 20-25% of all pituitary mass lesions. They result in visual field defects (bitemporal hemianopia) due to compression of optic chiasm and may also cause headaches, papilledema, and changes in mentation. They may even cause hyperprolactinemia, diabetes insipidus, and panhypopituitarism. They are diagnosed on MRI and their treatment is surgical excision (total or partial resection) with or without radiation therapy.
Yeah, it may lead to behavioral impairment if treated with radiations.
Once the eyesight is lost will the patient be able to regain it? I really would like to know. Once I cared for a patient who had diminishing eyesight due to craniopgaryngioma. He lost his vision completely after surgery. But i couldnt follow up to know whether he regained vision or not.