Feed
Library
Learning
Discuss
Leaderboard
Journal
Sign in
Login
Sign up
Sign in
Feed
Library
Learning
Discuss
Leaderboard
Journal
Ardit
over 4 years ago
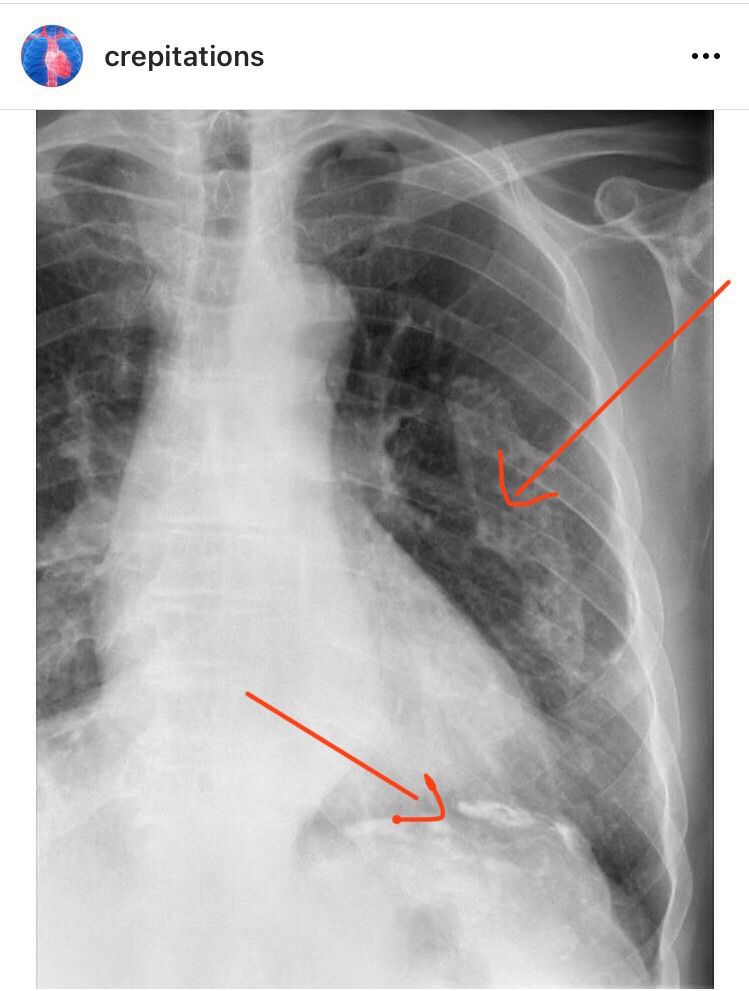
Asbestosis - Lung x ray
These are typical apperances of calcified pleural plaques secondary to asbestos exposure.
Xray
Lungs
Chestxray
Lungsounds
Asbestosis
3
0
3
Other comments
Sign in
to post comments. You don't have an account?
Sign up now!
Related posts
Lateral Hip X-ray Anatomy
Pelvic X-ray Anatomy
Order of Auscultating Lung Sounds
Abnormal Lung Sounds
Management of pleural effusion
Pneumonia
Atelectasis
Symptoms of pneumonia
Doctor Explains: How to PURIFY Smokers Lungs!
Chest X-Rays
Recent MCQs
Show more MCQs
Recent flashcard sets
Show more flashcards
Feed
Learn
Add
Search
Discuss