
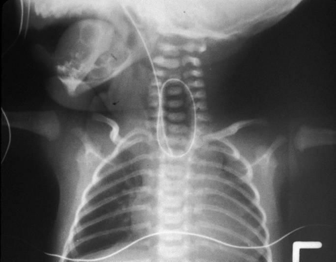
Tracheoesophageal fistula is a condition in which there is abnormal communication between the trachea and esophagus. It occurs because of a congenital defect in the separation of tracheal diverticulum and foregut during embryogenesis. In one of the commonly occurring variants, the distal esophagus communicates with the trachea while proximal esophagus ends in a blind pouch. In this case, an attempt to pass a nasogastric tube is unsuccessful. Due to an absence of a distal passageway, it ends up coiling in the proximal esophagus. Surgical correction is required. Image via: https://step2.medbullets.com/pediatrics/120608/transesophageal-fistula