
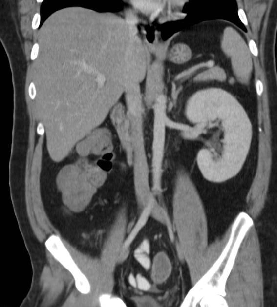
Renal agenesis is a rare condition in which there is absence of one or both kidneys. The exact aetiology behind this congenital condition is not known but different theories have been proposed including early vascular insult to the developing ureteric bud. In unilateral cases the person is usually asymptomatic and if not undergone antenatal screening this condition is usually picked up incidentally on abdominal imaging done for other reasons. If present bilaterally (traditionally known as the classic Potter syndrome) this condition is fatal in almost all the cases. Text Reference and Image Source: https://radiopaedia.org/articles/renal-agenesis