
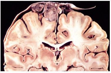
Meningiomas are relatively benign tumour of meninges that arise from the meninges and to be more specific from the arachnoid meningothelial cells. Slow growing tumours found in adults. They can grow along the outer surface of the brain or may be found in the ventricular system. Menongiomas can be graded into three grades: Grade l: Well-differentiated tumours that do not invade Grade ll: Atypical meningiomas that are locally aggressive and have a higher recurrence rate. Grade lll: Anaplastic (malignant) are high grade tumours that are typically fast growing. Picture credit: Robbins and Cotran pathologic basis of disease (10 edition)