Feed
Library
Learning
Discuss
Leaderboard
Journal
Sign in
Login
Sign up
Sign in
Feed
Library
Learning
Discuss
Leaderboard
Journal
Mahira khan
almost 5 years ago
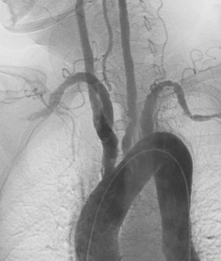
Takayasu arteritis
Medicine
Cvs
Disease
114
0
0
Other comments
Sign in
to post comments. You don't have an account?
Sign up now!
Related posts
Lidocaine HCl
CVS MEDICATIONS
Emergency Medications
Drug Safety Alerts- Cardiovascular
Breastfeeding and Medications II
Neurofibromatosis
Women’s Reproductive Health & Daily Wellness
Gelatine Sculpt | Official Website
BurnSlim Official | Support Your Weight Management Journey
Recent MCQs
Show more MCQs
Recent flashcard sets
Show more flashcards
Feed
Learn
Add
Search
Discuss