
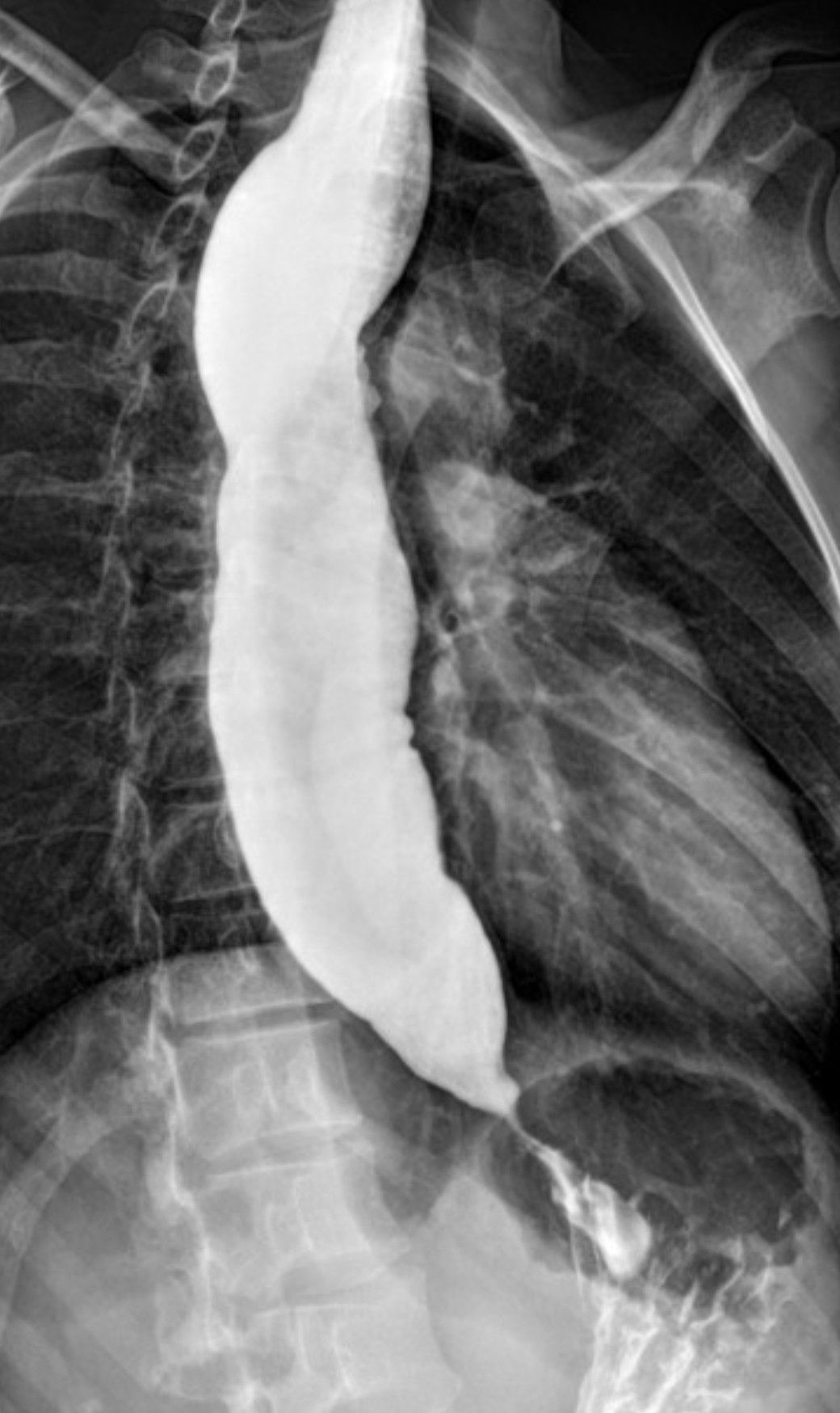
Achalasia is a disease in which there is loss of peristalsis in the distal esophagus and lower esophageal sphincter also fails to relax. The symptoms include chest discomfort, dysphagia for both solids and liquids. The classic radiographic finding is bird beak appearance. Surgical treatment is Hellers myotomy, balloon dilatation and for medical treatment calcium channel blockers can be used.