
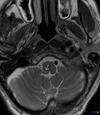
Posterior inferior cerebellar artery syndrome refers to the constellation of neurological symptoms attributed to lateral medullary injury. The condition is also known as a lateral medullary syndrome. Signs and symptoms of Wallenburg syndrome are: - Contralateral loss of pain and temperature sensations on trunk and extremities - Ipsilateral loss of pain and temperature sensations on face - Dysphonia - Difficulty swallowing - Slurred speech - Nasal regurgitation - Palatal myoclonus - Vertigo - Ipsilateral vocal cord paresis The most common risk factor of posterior inferior cerebellar artery syndrome is hypertension. Trauma and collagen vascular disease can also implicate in wallenburg syndrome. The management of Wallenburg syndrome aims at relieving the symptoms and rehabilitation. Reference: https://medicine.uiowa.edu/iowaprotocols/wallenberg-syndrome-pica-syndrome-lateral-medullary-infarction#:~:text=Wallenberg%20syndrome%20%3D%20Lateral%20medullary%20syndrome,opposite%20side%20of%20the%20infarction Image via: https://radiopaedia.org/articles/lateral-medullary-syndrome