
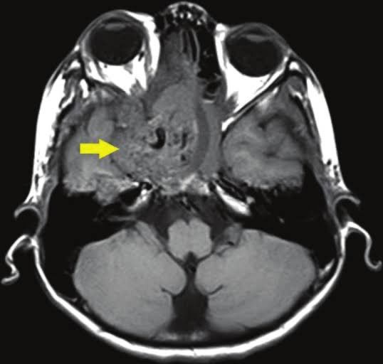
Juvenile nasopharyngeal angiofibroma is a benign tumour of nasopharynx found predominantly in young males. It is a locally aggressive tumour with severe tendency to bleed that’s why it is contraindicated to take a biopsy these cases. Clinically it produces symptoms of nasal obstruction, hypo-nasal voice, hearing loss and middle ear effusion during to Eustachian tube blockage. It may invade into adjacent structures and produce features of facial swelling, diplopia, nasal bridge broadening and cranial nerve palsies. Investigations includes imaging studies and angiography. Treatment is by surgical excision. Picture credit: Journal of clinical imaging science