Feed
Library
Learning
Discuss
Leaderboard
Journal
Sign in
Login
Sign up
Sign in
Feed
Library
Learning
Discuss
Leaderboard
Journal
Dr.Amar ❤️
about 1 year ago
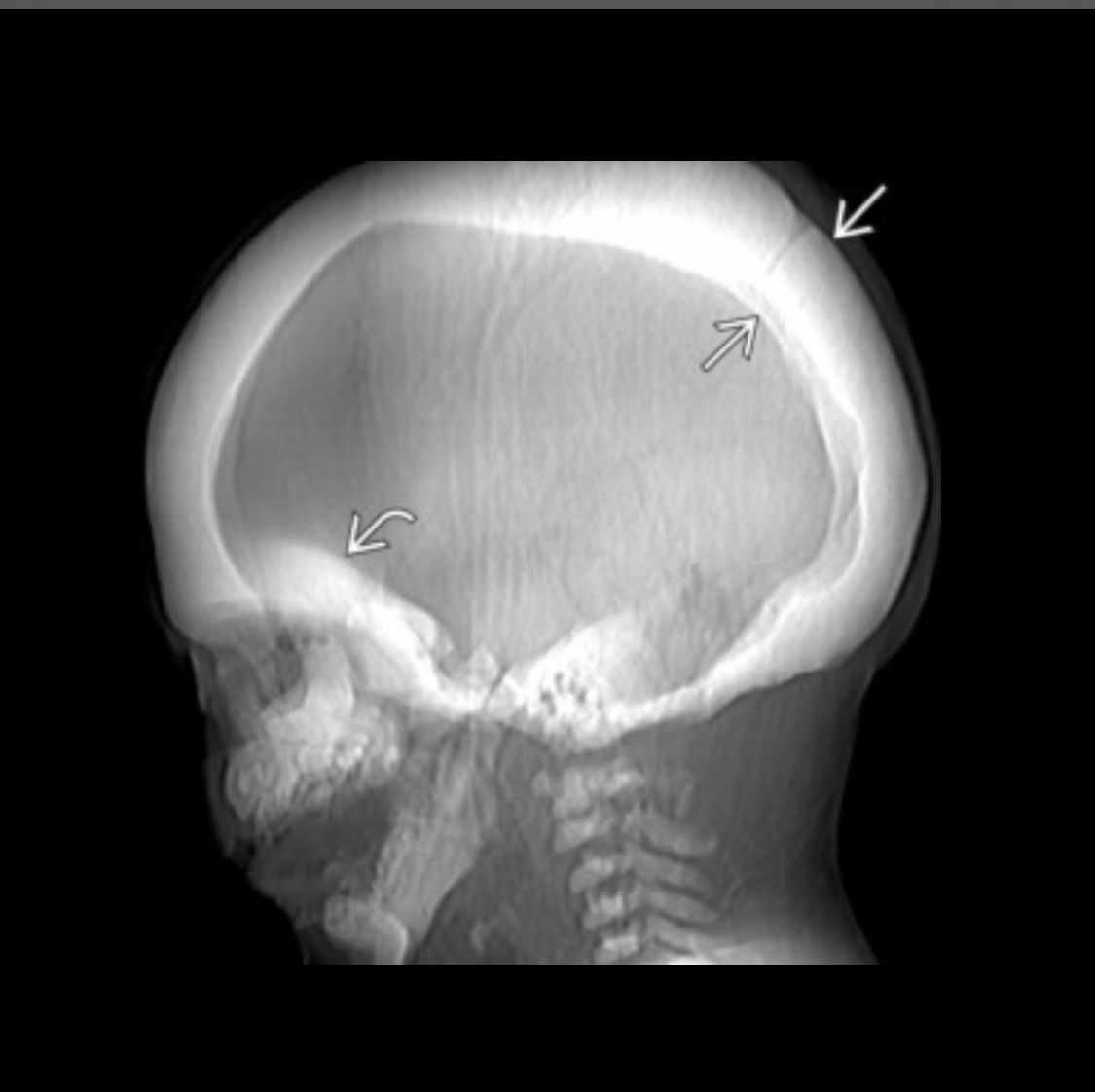
Albers Schönberg disease? Stone bone/ marble bone disease, characterized by sclerosis , mainly involving spline , pelvis abd skull base paradoxical fragility of bones. Due to mutation of CLCN7 gene.
❤️ Eponyms
Medicine
Pathology
Brain
Bones
Comment
show 3 more
12
0
5
Other comments
Sign in
to post comments. You don't have an account?
Sign up now!
Related posts
Haemophilia
Brain Blood Supply
External nose bones
Periapical Pathologies
Hemangioma
Erythroplakia
Women’s Reproductive Health & Daily Wellness
Gelatine Sculpt | Official Website
BurnSlim Official | Support Your Weight Management Journey
Recent MCQs
Show more MCQs
Recent flashcard sets
Show more flashcards
Feed
Learn
Add
Search
Discuss