
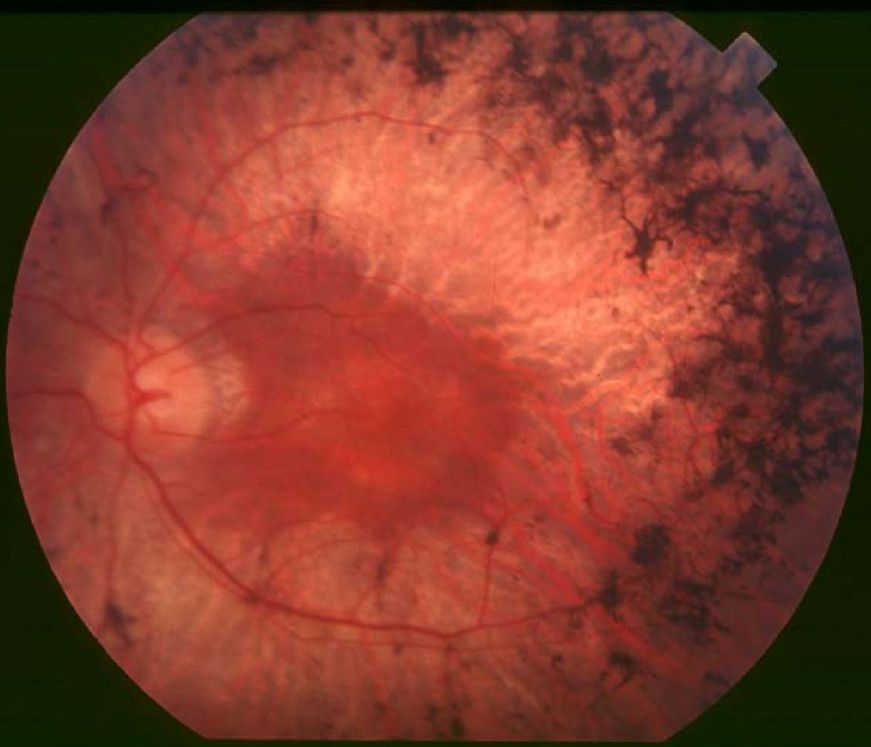
Retinitis pigmentosa (RP) is a term for a group of eye diseases that can lead to loss of sight. What they have in common are specific changes your doctor sees when they look at your retina -- a bundle of tissue at the back of your eye. When you have RP, cells in the retina called photoreceptors don’t work the way they're supposed to, and over time, you lose your sight. It’s a rare disorder that’s passed from parent to child. Only 1 out of every 4,000 people get it. About half of all people with RP have a family member who also has it. The retina has two types of cells that gather light: rods and cones. The rods are around the outer ring of the retina and are active in dim light. Most forms of retinitis pigmentosa affect the rods first. Your night vision and your ability to see to the side -- peripheral vision -- go away. Cones are mostly in the center of your retina. They help you see color and fine detail. When RP affects them, you slowly lose your central vision and your ability to see color. Symptoms Retinitis pigmentosa usually starts in childhood. But exactly when it starts and how quickly it gets worse varies from person to person. Most people with RP lose much of their sight by early adulthood. Then by age 40, they are often legally blind. Because rods are usually affected first, the first symptom you may notice is that it takes longer to adjust to darkness (called “night blindness). For example, you may notice it when you walk from bright sunshine into a dimly lit theater. You may trip over objects in the dark or not be able to drive at night. You may lose your peripheral vision at the same time or soon after your night vision declines. You may get "tunnel vision," which means you can’t see things to the side without turning your head. In later stages, your cones may be affected. That will make it harder for you to do detail work, and you may have trouble seeing colors. It’s rare, but sometimes the cones die first. You might find bright lights uncomfortable -- a symptom your doctor may call photophobia. You also may start to see flashes of light that shimmer or blink. This is called photopsia. Causes More than 60 different genes can cause the different types of retinitis pigmentosa. Parents can pass the problem genes on to their children in three different ways: Autosomal recessive RP: Each parent has one problem copy and one normal copy of the gene that's responsible, but they don’t have any symptoms. A child that inherits two problem copies of the gene (one from each parent) will develop this type of retinitis pigmentosa. Since two copies of the problem gene are needed, each child in the family has a 25% chance of being affected. Autosomal dominant RP: This type of retinitis pigmentosa requires only one copy of the problem gene to develop. A parent with that gene has a 50% chance of passing it to each child. X-linked RP: A mother who carries the problem gene can pass it down to their children. Each one of them has a 50% chance of getting it. Most women who carry the gene won’t have any symptoms. But about 1 out of every 5 will have mild symptoms. Most men who get it will have more severe cases. Fathers who have the gene can’t pass it to their children. Diagnosis An eye doctor (ophthalmologist) can tell you if you have retinitis pigmentosa. They’ll look into your eyes and do some special tests: Ophthalmoscope: The doctor will put drops into your eyes to make your pupil wider to get a better look at your retina. They will use a handheld tool to look into the back of your eye. If you have RP, there will be specific kinds of dark spots on your retina. Visual field test: You’ll look through a tabletop machine at a point in the center of your vision. While staring at that point, objects or lights will appear to the side. You’ll press a button when you see them, and the machine will create a map of how far to the side you can see. Electroretinogram: The eye doctor will put a film of gold foil or a special contact lens on your eye. Then they will measure how your retina responds to flashes of light. Genetic test: You'll submit a DNA sample to find out which form of RP you have. If you or anyone in your family is diagnosed with retinitis pigmentosa, all family members should go to the eye doctor for screening. Treatment There’s no cure for retinitis pigmentosa, but doctors are working hard to find new treatments. A few options can slow your vision loss and may even restore some sight: Acetazolamide: In the later stages, the tiny area at the center of your retina can swell. This is called macular edema, and it, too, can reduce your vision. This medication can ease swelling and improve your vision. Vitamin A palmitate: High doses of this compound may slow retinitis pigmentosa a little each year. But you have to be careful, because too much can be toxic. Work closely with your doctor and follow their recommendations. Sunglasses: These make your eyes less sensitive to light and protect your eyes from harmful ultraviolet rays that may speed vision loss. Retinal implant: If you have late-stage RP, you may be a candidate for a retinal implant that could provide partial sight. Argus II is the implant available in the US. It’s implanted into a single eye and paired with glasses equipped with a camera. Images are converted to electrical pulses that are sent to the retina. Many were able to locate lights and windows. Some were able to determine where other people were located in a room and about half of the subjects were able to read letters that were about 9 inches high. Other treatments under review include: Replacement of damaged cells or tissues with healthy ones Gene therapy to put healthy genes into the retina Devices and tools can help you make the most of your vision, and rehab services can help you stay independent.