MEDizzy
MEDizzy
S
Sunidhiover 7 years ago
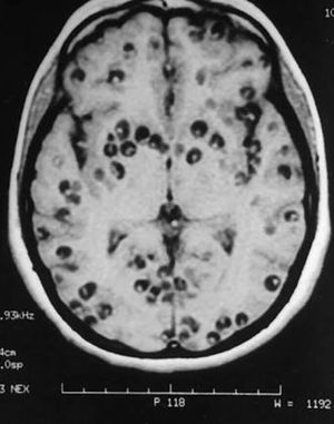
Name this condition.

Name this condition.

33
Top rated comment
over 7 years ago

Neurocysticercosis?

Other commentsSign in to post comments. You don't have an account? Sign up now!
over 7 years ago

Cysticercosis

over 7 years ago

Neurocysticercosis

over 7 years ago

Yes, it is Neurocysticercosis.

over 7 years ago

Neurocysticerosis

over 7 years ago

Multiple Neurocysticercosis...and probably Stage II ..

over 7 years ago

Taeniasis..soleum and saginata..From uncooked pork meats..First affects GI systems then through Systemic circulation In Brain

over 7 years ago

What causes this disease?

over 7 years ago

Neurocystinecrosis

over 7 years ago

Tb

over 7 years ago

No Helen, it is Neurocysticercosis grade 2.

over 7 years ago

neurocysticerosis

over 7 years ago

Neurocysticerosis

Recent MCQs















Show more MCQs

Recent flashcard sets















Show more flashcards