
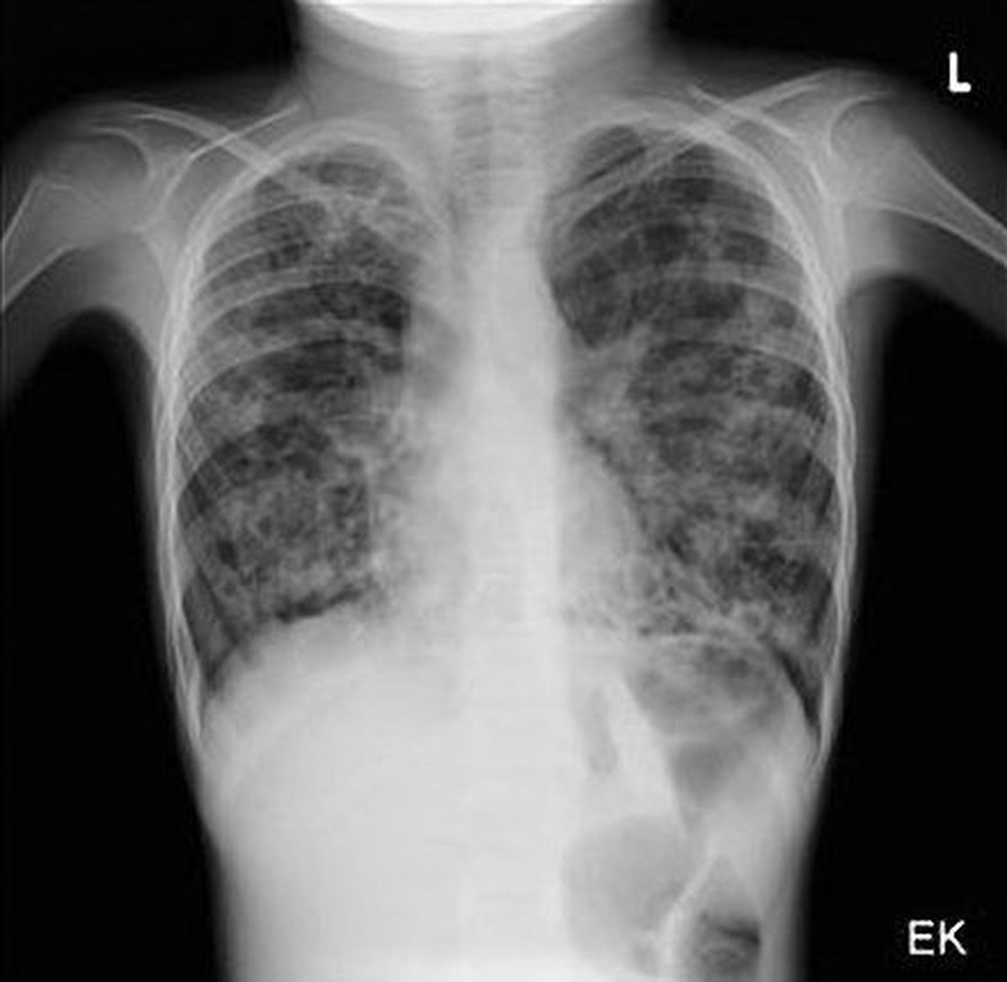
Cystic fibrosis (often abbreviated as CF, also called mucoviscidosis or fibrocystic disease of the pancreas) is an autosomal recessive genetic disorder. The disease is caused by a mutation in the CF gene (chromosome 7), which codes for a protein that functions as a chlorine channel called CFTR (Cystic Fibrosis Transmembrane conductance Regulator). Cystic fibrosis is the most common fatal inherited genetic disease in the Caucasoid population. This genetic mutation is fatal, those born with it have a very low life expectancy that can increase if drug therapy is carried out consistently. Unfortunately, today there is no cure, other than lung transplantation. Usually the luckiest individuals are able to reach the age of 30-35 without resorting to a transplant which in many cases does not work as the body rejects it.
Trikafta is a newer CF medication with very promising results that might, with consistent use, cause normal lung function and restore the lives of CF patients
Thank you so much, I’ve never heard about it! I’m gonna round some researches about it!