
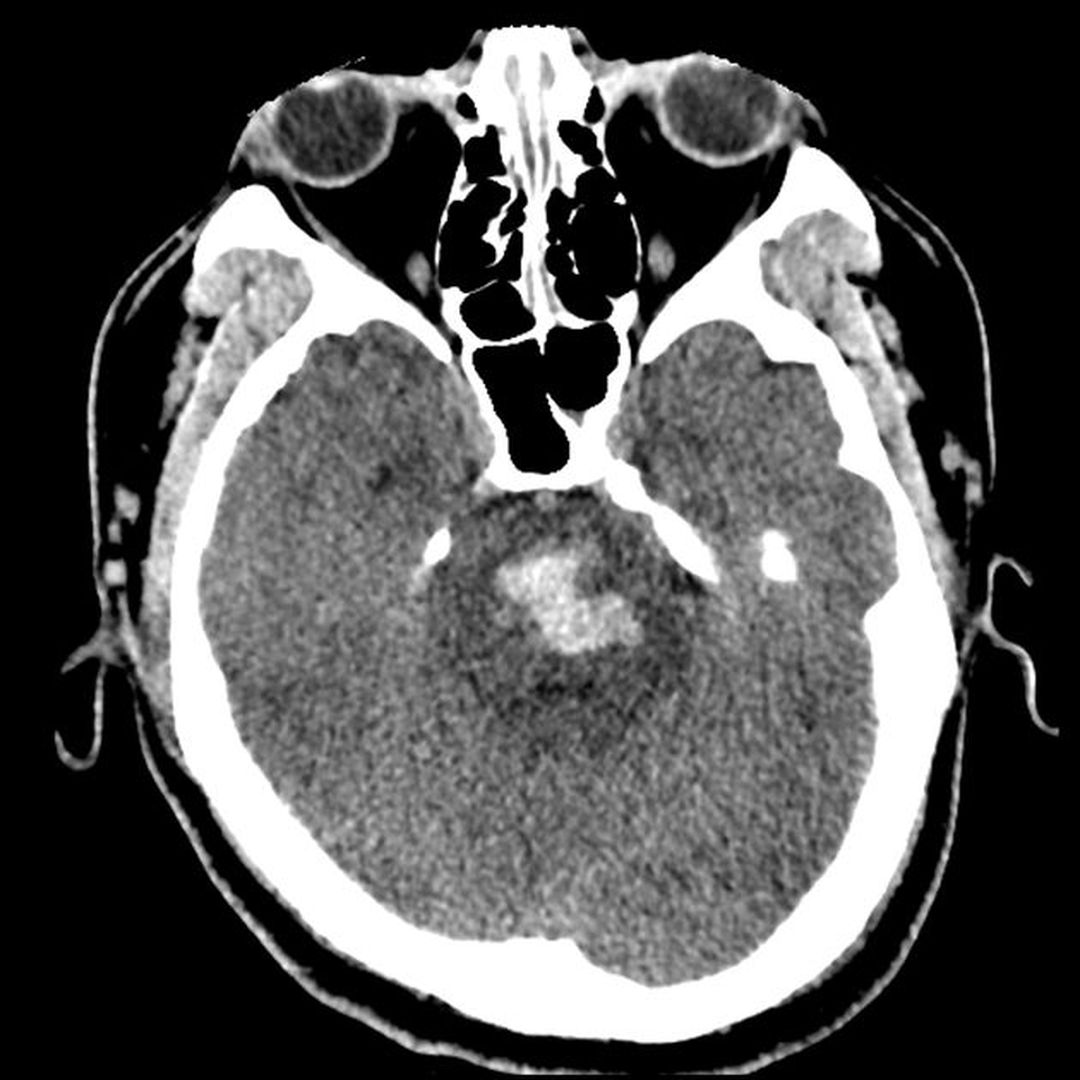
Pontine hemorrhage is a subset of hemorrhagic strokes, accounting for approximately 7% of the cases. The patients present with sudden neurological deficits such as altered mentation, quadraparesis, cranial nerve palsies, seizures, and Cheyne-Stokes respiration. The prognosis is poor if there is excessive bleeding. In case of smaller hemorrhage, the condition is treated medically, and an extra-ventricular drain may be inserted. In case of excessive bleeding, stereotactic clot aspirator may be useful. Source Pontine Hemorrhage https://radiopaedia.org/articles/pontine-haemorrhage#:~:text=Pontine%20hemorrhage%2C%20a%20form%20of,carries%20a%20very%20poor%20prognosis. Image via https://radiopaedia.org/articles/pontine-haemorrhage#:~:text=Pontine%20hemorrhage%2C%20a%20form%20of,carries%20a%20very%20poor%20prognosis.