MEDizzy
MEDizzy
Taylor Collins
Taylor Collinsover 7 years ago
Histology

Histology

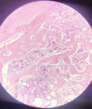
What type of tissue is this?

29
Top rated comment
over 7 years ago

Spongy bone

over 7 years ago

Medulla of the bone showing trabeculae

over 7 years ago

Ah so close

Other commentsSign in to post comments. You don't have an account? Sign up now!
over 7 years ago

Spongy bone

over 7 years ago

It doesn't spongy bone with lacuna filled with bone marrow?

over 7 years ago

Nope

over 7 years ago

Soft bone

over 7 years ago

Spongy bone

over 7 years ago

Bony trabeculae with bone marrow inbetween

over 7 years ago

Okay

over 7 years ago

No😅

over 7 years ago

hii

over 7 years ago

hallo

over 7 years ago

how are u

over 7 years ago

This is fibrocartilage!

Recent MCQs

‌
‌

‌
‌

‌
‌

‌
‌

‌
‌
Show more MCQs

Recent flashcard sets

‌
‌

‌
‌

‌
‌

‌
‌

‌
‌
Show more flashcards