
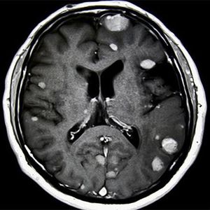
When cancer develops elsewhere in the body and spreads (metastasizes) to the brain, it’s called a secondary brain tumor, or metastatic brain cancer. Metastatic brain tumors are more common than primary brain tumors. Some cancers that commonly spread to the brain include lung, colon, kidney and breast cancers.