MEDizzy
MEDizzy
Madhur Gupta
Madhur Guptaalmost 5 years ago
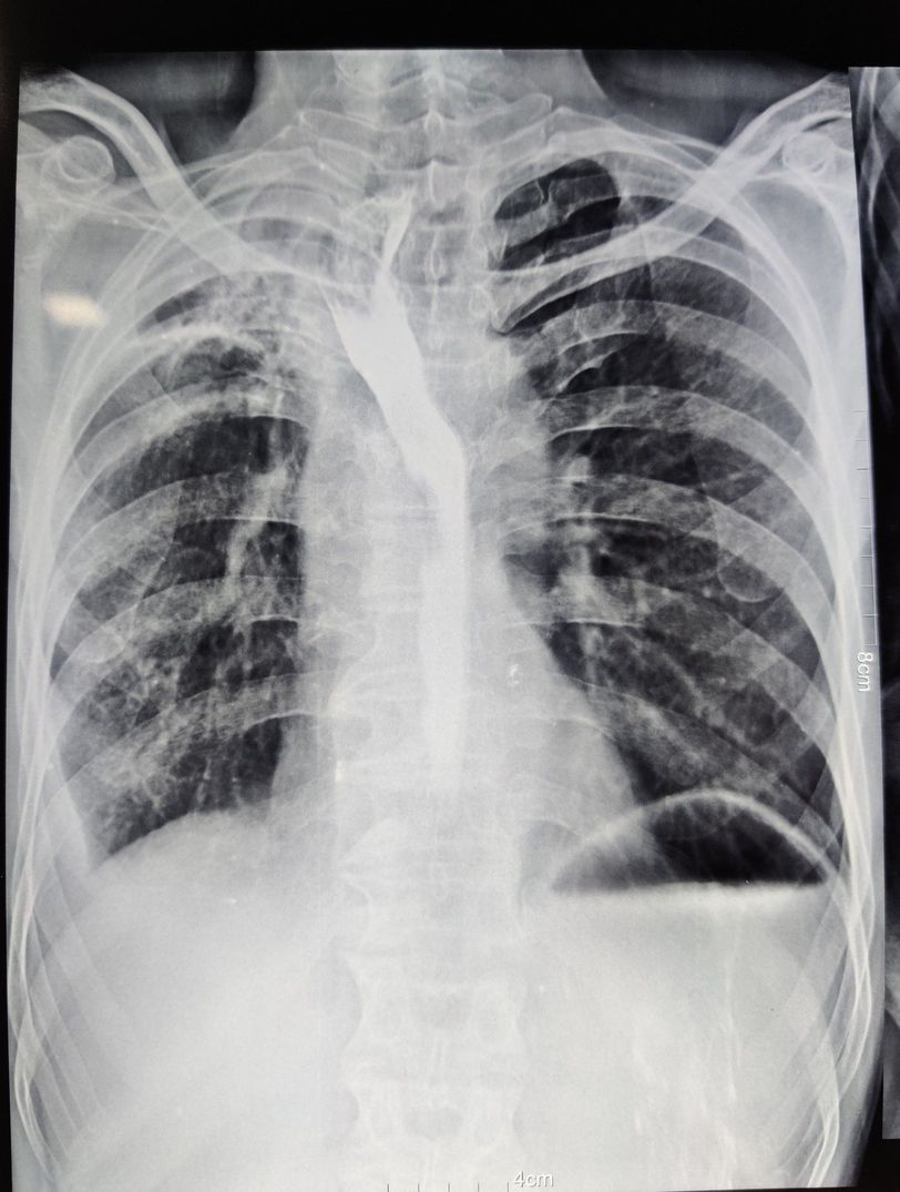
Only complaint is chronic diarrhoea

Only complaint is chronic diarrhoea

Oesophagus deviated towards right Obliteration of costopulmonary angle

535
Top rated comment
almost 5 years ago

Female? Any palpatory findings? CECT W/A? If female suspecting of ovarian CA if male then we have to rule out...

Other commentsSign in to post comments. You don't have an account? Sign up now!

Recent MCQs















Show more MCQs

Recent flashcard sets















Show more flashcards