
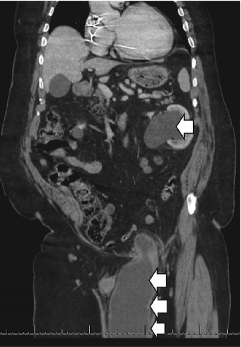
Herniation of urinary bladder into inguinal canal is a rare occurrence, however, when it occurs, it presents with signs and symptoms of urinary obstruction along with swelling in scrotal region. An article reported a rare case of complete bladder herniation in presence of prior neurologic deficit secondary to stroke as well as previous history of surgical repair of hernia. A 74 years old, unidentified male, suffered from acute urinary retention while he was straining in order to defecate. The scrotal swelling developed suddenly along with urinary obstruction. Attempts for catheterization were unsuccessful. Investigative imaging revealed complete herniation of bladder into left inguinal region with severe obstructive uropathy with bilateral hydronephrosis secondary to obstructed ureters. Specialists from general surgery and urology were consulted. Open repair of incarcerated inguinal hernia along with cystorrhaphy was performed. Patient recovered without developing further complications with no voiding problems. Source Massive bladder inguinal hernia leading to acute urinary retention https://www.sciencedirect.com/science/article/abs/pii/S0735675720305416 Image via https://www.sciencedirect.com/science/article/abs/pii/S0735675720305416
Pt recovered WITHOUT developing further complications with no voiding problems.